Fracture de hanche Types de fractures et traitements CPHG Paris

Ce sont les fractures de l'os iliaque atteignant la surface articulaire de la cotyle. Fracture grave qui s'intègre dans le cadre du polytraumatisme. Lésions associées : traumatisme à haute énergie menace le pronostic vital.
PPT LES FRACTURES DU COTYLECE QU’ATTEND LE CHIRURGIEN DU RADIOLOGUE PowerPoint Presentation

Les fractures luxations du cotyle sont le plus souvent dues à des traumatismes de haute énergie. Elles constituent une urgence thérapeutique, l'association de la luxation à une fracture du cotyle fait apparaître la question du choix thérapeutique entre traitement orthopédique et traitement médical. L'objectif de l'étude est de mettre.
FRACTURE DU COTYLE Dr Abderrezak Service de chirurgie

Fractures du cotyle. Diverses fractures du cotyle peuvent survenir, entraînant une atteinte importante de l'articulation de la hanche. L'incidence de ce type de fracture est estimée à.
Fractures du Cotyle

La hanche peut être fracturée à plusieurs endroits : au niveau du fémur, l'os de la cuisse, et au niveau du cotyle, l'os du bassin. Le traitement et la convalesence reposent sur les même grandes lignes. On distingue aussi en fonction de si votre fracture est ouverte ou fermée (l'os ne sort pas).
PPT LES FRACTURES DU COTYLECE QU’ATTEND LE CHIRURGIEN DU RADIOLOGUE PowerPoint Presentation

les fractures du cotyle et du bassin. Ces fractures (les fractures du cotyle et du bassin) heureusement rares sont aujourd'hui le fait d'accident de la route dans l'immense majorité. Le traitement et le pronostic de ces fractures dépend du type de lésion et notamment de l'état du cartilage.
Les fractures du bassin. Leurs particularités et traitements CHVSM

La hanche est une articulation quasi sphérique composée de l'emboîtement de la tête du fémur dans la cavité du cotyle. Elle est maintenue par des ligament, des tendons et une capsule articulaire très solide. On définit une fracture comme un rupture d'un os qu'elle soit complète ou partielle.
Fracture col du fémur Clinique de l'UnionClinique le Marquisat

La fracture du cotyle. La fracture a lieu à la suite d'une chute sur les membres inférieurs ou bien est provoquée par une surutilisation de l'articulation. En cas de fracture du cotyle la douleur se fait ressentir dans la hanche du côté de la fracture, surtout lorsque le malade appui sa jambe par terre.
LES FRACTURES DU COTYLE CE QUATTEND LE CHIRURGIEN

Fracture du cotyle. La cotyle est la cavité, côté bassin, de l'articulation de la hanche. La fracture du cotyle survient suite à un traumatisme important (accident de la route, chute d'une hauteur élevée). Lorsque la fracture est non déplacée il convient de maintenir une décharge (marche sans appui) pendant 6 semaines.
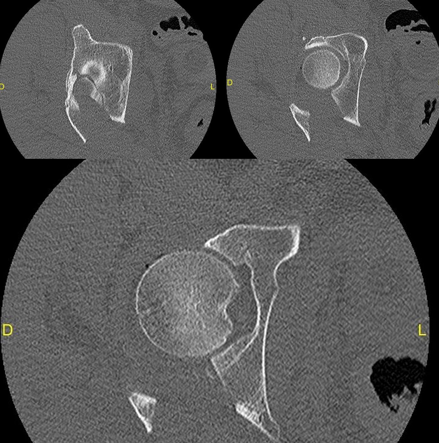
Figure 2 from Prise en charge des fractures du cotyle. État des lieux à propos d'une série de

Les fractures du cotyle sont définies comme une solution de continuité du bassin touchant la région cotyloïdienne, ils sont articulaires et nécessitent une réduction parfaite pour éviter la complication la plus évidente et la plus invalidante qui est la coxarthrose [10].
PPT LES FRACTURES DU COTYLECE QU’ATTEND LE CHIRURGIEN DU RADIOLOGUE PowerPoint Presentation

La mort suite à une blessure du bassin peut survenir à cause de : choc hémorragique (perte de sang) ; lésions du système nerveux central ; septicémie (infection généralisée). La fracture du bassin affecte plus les hommes que les femmes parce qu'ils sont plus facilement touchés par des traumatismes. Qu'est-ce que le bassin ?
PPT LES FRACTURES DU COTYLECE QU’ATTEND LE CHIRURGIEN DU RADIOLOGUE PowerPoint Presentation

Résumé. Les fractures du cotyle sont rares et, en France, les centres spécialisés dans cette chirurgie n'en voient guère plus de dix ou 15 par an. Cette fracture a mauvaise réputation.
PPT LES FRACTURES DU COTYLECE QU’ATTEND LE CHIRURGIEN DU RADIOLOGUE PowerPoint Presentation

Les fractures à déplacement antérieur, colonne antérieure, colonne antérieure et hémitransverse postérieure associée sont les plus fréquentes. Après traitement non chirurgical, les résultats fonctionnels des fractures de cotyle déplacées sont mauvais ou très mauvais dans cette population gériatrique.
PPT LES FRACTURES DU COTYLECE QU’ATTEND LE CHIRURGIEN DU RADIOLOGUE PowerPoint Presentation

Quarante-cinq fractures de la paroi postérieure ont été éliminées pour ne garder que 116 dossiers soit 118 fractures du cotyle (deux bilatérales), soit 95 hommes pour 21 femmes. L'âge moyen est de 40 ans (12-85). Aucun antécédent dans 85 %.
LES FRACTURES DU COTYLE Dr. T. BOUZIDI de Constantine

Résumé. Nous traitons la prise en charge chirurgicale des fractures récentes du cotyle chez l'adulte. Les voies d'abord du cotyle peuvent être classées en voie postérieure, antérieures, élargies et combinées. La voie de Kocher-Langenbeck est la seule voie postérieure et met en évidence toute la colonne postérieure.
Un Jour En Chirurgie Orthopedique Et Traumatologique Luxation de la hanche associée à une

Une fracture du cotyle ou du fémur peut intervenir lors de l'intervention, nécessitant un traitement spécifique. Une inégalité des membres peut toujours exister et nécessiter le port de semelles pour la corriger. Les risques énumérés ne constituent pas une liste exhaustive. Votre chirurgien donnera toute explication complémentaire.
Fracture du col du fémur causes, symptômes, diagnostic et traitement

Prise en charge des fractures du cotyle. État des lieux : à propos d'une série de 92 cas. Chirurgie. 2018. dumas-02149215. 1 . Année 2018 Faculté de Médecine d'Amiens Université de Picardie Jules Verne . Thèse pour l'obtention du titre de Docteur en Médecine Mention Spécialité . Thèse N° 2018-162 .
.